bienvenido a Diagnóstico Ortodóntico Dento Maxilar

Calidad en cada Imagen, confianza en cada Diagnóstico

Con 20 años de experiencia, ofrecemos servicios de radiología dental de primer nivel.

Agenda tu cita
Hero
20+
Años de Experiencia

Sobre Diagnóstico Ortodóntico Dento Maxilar

Liderando en Radiología Dental

En Diagnóstico Ortodóntico Dento Maxilar, nos enorgullece ser un laboratorio de radiología dental con dos décadas de servicio excepcional. Ubicados en el municipio de Capulhuac, ofrecemos una amplia gama de estudios dentales precisos y profesionales para dentistas y pacientes.

Nuestra Experiencia
Con 20 años en el campo, nuestro equipo está comprometido a proporcionar resultados precisos y confiables, utilizando la tecnología más avanzada en radiología dental.
Nuestra Tecnología
Equipada con los últimos avances en escaneo intraoral y estudios de ortodoncia, nuestra instalación asegura una experiencia eficiente y cómoda para todos nuestros pacientes.
Contáctanos

Nuestros Servicios

Excelencia en Radiología Dental

Ofrecemos una variedad de servicios diseñados para satisfacer las necesidades específicas de los dentistas y sus pacientes, con un enfoque en precisión y atención al detalle.

Descripción de imagen

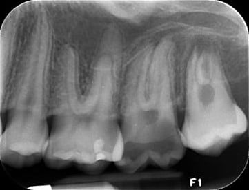
Radiografías Periapicales

Realizamos toma de radiografías periapicales con la más alta calidad y precisión.

Radiografía dental

Fotografía Clínica

Capturamos imágenes clínicas detalladas que ayudan en el diagnóstico y planificación del tratamiento de Ortodoncia.

Modelos de Estudio

Modelos de Estudio

Proveemos modelos de estudio de resina altamente precisos que facilitan una planificación detallada para los tratamientos Ortodónticos.

Escaneo Intraoral

Escaneo Intraoral

Utilizamos tecnología avanzada de escaneo intraoral para obtener impresiones digitales precisas y rápidas, mejorando la experiencia del paciente.

Nueva Imagen

Estudios de Ortodoncia

Ofrecemos estudios ortodónticos completos para evaluar y planificar tratamientos ortodónticos efectivos. Incluye la radiografía panorámica, lateral de cráneo, fotografía clínica, modelos de estudio de resina y un trazo cefalométrico.

Descripción de imagen

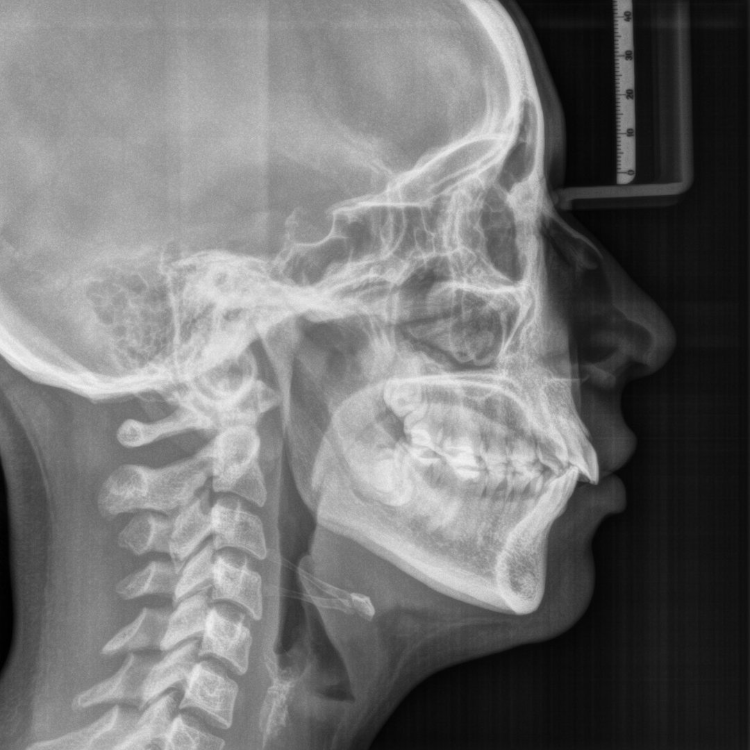
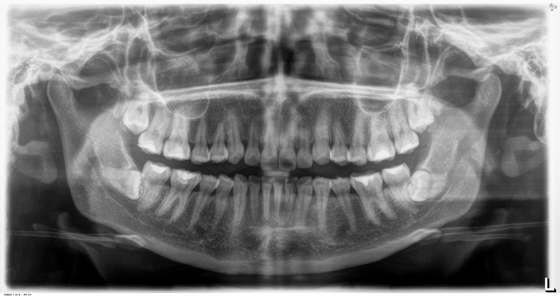
Radiografía Panorámica

La radiografía panorámica es una herramienta esencial que ofrece una vista completa de la estructura dental y ósea, capturando todos los dientes, maxilar, mandíbula y las estructuras circundantes en una sola imagen.

Fluoración Dental

Radiografía Carpal

Es una herramienta fundamental para evaluar el desarrollo óseo, ofrece una visión crucial del patrón de crecimiento del paciente, ayudándote a tomar decisiones informadas y a personalizar tu tratamiento.

Fluoración Dental

Radiografía de ATM Comparativa

Una evaluación detallada es esencial para abordar los trastornos temporomandibulares (ATM) con eficacia. La radiografía de ATM comparativa es tu herramienta de elección para obtener una visión precisa de las articulaciones temporomandibulares de ambos lados, permitiéndote comparar y analizar las condiciones de manera detallada.

Nuevo Servicio

Radiografía PA de Cráneo

Es una herramienta esencial que te proporciona una visión clara y detallada de las estructuras óseas faciales y craneales. Te permite examinar simetría facial, alineación ósea y relaciones entre las estructuras dentales y esqueléticas con gran precisión. Ideal para el diagnóstico de maloclusiones, anomalías óseas y planificación quirúrgica

Contacto

Ponte En Contacto

Si tienes alguna duda o deseas agendar una cita, no dudes en contactarnos a través de los siguientes medios.

Contáctanos

Información de Contacto

7131334730
Av. 16 de Septiembre no. 800-A, Col. Centro, Capulhuac, Estado de México
Lunes a Viernes de 10:00 a 19:30 y Sábados de 10:00 a 13:30 hrs